fbpx
  • اتصل بنا
  • جريدة زمان التركية
  • جميع الأخبار
  • سياسة الخصوصية
  • كتاب “زمان التركية”
  • قصة عشق
  • مسلسل حلم اشرف
  • مسلسل هذا البحر سوف يفيض
  • اورهان الحلقة الثانية
  • مسلسل المدينة البعيدة
جريدة زمان التركية
Advertisement
  • زمان
  • آخر الأخبار
  • أخبار تركيا
  • الشرق الأوسط
  • أخبار العالم
  • اقتصاد
  • رياضة
  • تقارير
  • مطبخ تركي
  • كتاب “زمان”
    • كتاب
  • جميع الأخبار
    • مكتبة “زمان”
    • اتصل بنا
    • سياسة الخصوصية
  • زمان
  • آخر الأخبار
  • أخبار تركيا
  • الشرق الأوسط
  • أخبار العالم
  • اقتصاد
  • رياضة
  • تقارير
  • مطبخ تركي
  • كتاب “زمان”
    • كتاب
  • جميع الأخبار
    • مكتبة “زمان”
    • اتصل بنا
    • سياسة الخصوصية
لا توجد نتائج
جميع النتائج
جريدة زمان التركية
لا توجد نتائج
جميع النتائج
Home جميع الأخبار

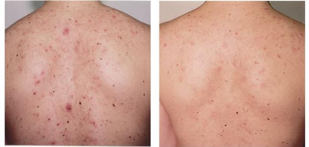
حبوب الظهر وعلاجها

30/08/2020
in جميع الأخبار
حبوب الظهر وعلاجها
1
مشاركة
1.4k
VIEWS

عمان (زمان التركية)ــــ ليس الوجه وحده المكان الذي يظهر فيه حب الشباب بالرغم من كونه الحالة الأكثر شيوعًا، إلا أن حب الشباب يمكن أن يصيب أي جزء من الجسم يحتوي على غدد تفرز الزيوت أو بصيلات الشعر ما يشمل الظهر والصدر والكتفين، ولكن كيف يمكن علاج حبوب الظهر؟

علاج حبوب الظهر
هناك العديد من خيارات العلاج المتاحة لمساعدة الناس على علاج حبوب الظهر والتخلص منه، ومن هذه الطرق:

1. استخدام الكريمات الموضعية
عادة ما يكون الخيار الأول لعلاج حالات حبوب الظهر الخفيفة والمتوسطة هو استخدام أدوية موضعية لا تتطلب وصفة طبية توضع مباشرة على الجلد.
حيث توصي الأكاديمية الأمريكية للأمراض الجلدية باستخدام منتج يحتوي على البنزويل بيروكسيد أو حمض الساليسيليك.

كما على الشخص أن يقوم وضع الدواء على الجزء المصاب من الظهر بأكمله وليس فقط على البقع مرة أو مرتين في اليوم، وعادةً ما يؤدي هذا النوع من العلاج إلى بشرة صافية في غضون 4-8 أسابيع.

2. الأقراص الدوائية
قد يقوم الطبيب أو مقدم الرعاية الصحية بوصف الأدوية عن طريق الفم إذا كان الشخص يعاني من حبوب الظهر الشديدة، وقد يشمل العلاج ما يلي:

المضادات الحيوية
وتستخدم المضادات الحيوية لقتل البكتيريا وتقليل الالتهاب، وفي بعض الأحيان قد يصفها الطبيب جنبًا إلى جنب مع الأدوية الموضعية، وقد يحتاج الشخص لأخذها لمدة 2 إلى 6 أشهر.

حبوب منع الحمل والأدوية الأخرى التي تؤثر على الهرمونات
حيث أنها يمكن أن تقلل من كمية الزيت التي ينتجها الجلد ولكن يمكن أن تستغرق 3 إلى 4 أشهر حتى تصبح سارية المفعول، وبما أن هذا الخيار يمنع عملية الإباضة فقد لا يكون مناسبًا للفتيات في مرحلة المراهقة.

الايزوتريتينوين (Isotretinoin)
وهو دواء قوي يمكن أن تبقى فعاليته لمدة تصل إلى سنتين بعد العلاج، إلا أنه يمكن أن يسبب اثارًا جانبية، مثل: جفاف الجلد خاصةً حول الشفاه، والام في المفاصل، ويسبب الضرر للأجنة مما يعني أنه غير مناسب للنساء اللواتي يخططن للحمل.

ويحتاج هذا العلاج إلى إجراء فحوصات دم دورية والاستمرار في المراقبة أثناء الاستخدام.

3. الاستحمام بعد التمرين
تحفز كل من الحرارة والرطوبة نمو البكتيريا، لذلك لابد من الاستحمام مباشرة بعد التمارين، ولكن إذا لم تستطع الاستحمام على الفور، فيمكن استخدام مناديل التنظيف الخالية من الزيوت لإزالة أكبر قدر ممكن من العرق عن الجسم، ومن ثم القيام بتبديل الملابس.

4. عدم الضغط على الحبوب
حيث يمكن أن يؤدي ذلك تفاقم الحبوب، فضلاً عن تلف البشرة، وقد يسبب هذا الفعل المتكرر إلى تكون بقع بنية وندبات.

5. تناول طعام صحي
لابد أنك سمعت عبارة “أنت ما تأكله”، حيث يمكن للنظام الغذائي غير الصحي أن يؤثر على أجسامنا بطرق متنوعة، وإذا كنت من الأشخاص المعرضين لحب الشباب، فقد تكون بعض الأطعمة محفزة له.

وتظهر الأبحاث أن الأطعمة التي تسبب ارتفاع نسبة السكر في الدم بسرعة، مثل: الخبز الأبيض والمعكرونة والأرز والبطاطس البيضاء، قد تزيد من درجة سوء حبوب الظهر.

لذلك فمن المهم تناول نظام غذائي صحي ومتوازن مع الإكثار من الخضروات والفاكهة والبروتينات الخالية من الدهون والحبوب الكاملة.
–

Tags: حب الشبابحبوب الظهرعلاج حبوب الظهر
Share1TweetSendShareSend

ذات صلة

كيف يتكون حب الشباب؟
آخر الأخبار

كيف يتكون حب الشباب؟

03/11/2024
أسباب وعلاج حبوب الظهر
جميع الأخبار

أسباب وعلاج حبوب الظهر

12/01/2021
أسباب حبوب الوجه بعد الثلاثين
جميع الأخبار

أسباب حبوب الوجه بعد الثلاثين

15/12/2020
آخر الأخبار

علاج آثار الحبوب والندبات بمستحضرات طبية وطبيعية

11/07/2020
  • Trending
  • Comments
  • Latest
8 أسباب تجعل القطة تأكل صغارها

8 أسباب تجعل القطة تأكل صغارها

23/02/2025
كم أمضى سيدنا يوسف في السجن؟

كم أمضى سيدنا يوسف في السجن؟

23/02/2025
أيهما كان أجمل سيدنا محمد أم سيدنا يوسف؟

أيهما كان أجمل سيدنا محمد أم سيدنا يوسف؟

23/02/2025
أسباب الألم المفاجئ في الخاصرة اليمنى

أسباب الألم المفاجئ في الخاصرة اليمنى

16/12/2020
في ذكرى فتح القسطنطينية.. دعوات لفتح “آياصوفيا” للصلاة

في ذكرى فتح القسطنطينية.. دعوات لفتح “آياصوفيا” للصلاة

0
إصابة 16 عسكرياً جراء هجوم العمال الكردستاني شرق تركيا

إصابة 16 عسكرياً جراء هجوم العمال الكردستاني شرق تركيا

0
احتجاز مراسل “سي إن إن” الدولي في إسطنبول

احتجاز مراسل “سي إن إن” الدولي في إسطنبول

0

شرطة إسطنبول تفرق مسيرات متجهة إلى ميدان “تقسيم”

0
أردوغان: حماس تشبة الحركة الوطنية التركية

أردوغان يعلق على هجوم القنصلية الإسرائيلية

07/04/2026
الرئيس الإيراني: 14 مليون سجلوا أسماءهم تطوعاً للدفاع عن البلاد

الرئيس الإيراني: 14 مليون سجلوا أسماءهم تطوعاً للدفاع عن البلاد

07/04/2026
ترامب: الليلة سنشهد زوال حضارة.. وبداية عصر جديد في إيران

ترامب: الليلة سنشهد زوال حضارة.. وبداية عصر جديد في إيران

07/04/2026
أردوغان يحذر من امتداد الصراع لدول أخرى بالمنطقة

أردوغان يحذر من امتداد الصراع لدول أخرى بالمنطقة

07/04/2026

Recent News

أردوغان: حماس تشبة الحركة الوطنية التركية

أردوغان يعلق على هجوم القنصلية الإسرائيلية

07/04/2026
الرئيس الإيراني: 14 مليون سجلوا أسماءهم تطوعاً للدفاع عن البلاد

الرئيس الإيراني: 14 مليون سجلوا أسماءهم تطوعاً للدفاع عن البلاد

07/04/2026
ترامب: الليلة سنشهد زوال حضارة.. وبداية عصر جديد في إيران

ترامب: الليلة سنشهد زوال حضارة.. وبداية عصر جديد في إيران

07/04/2026
أردوغان يحذر من امتداد الصراع لدول أخرى بالمنطقة

أردوغان يحذر من امتداد الصراع لدول أخرى بالمنطقة

07/04/2026

Browse by Category

  • آخر الأخبار
  • أخبار العالم
  • أخبار تركيا
  • اقتصاد
  • الشرق الأوسط
  • تقارير
  • جميع الأخبار
  • رياضة
  • غير مصنف
  • كتاب
  • مسودات
  • مطبخ تركي
  • مكتبة "زمان"

Recent News

أردوغان: حماس تشبة الحركة الوطنية التركية

أردوغان يعلق على هجوم القنصلية الإسرائيلية

07/04/2026
الرئيس الإيراني: 14 مليون سجلوا أسماءهم تطوعاً للدفاع عن البلاد

الرئيس الإيراني: 14 مليون سجلوا أسماءهم تطوعاً للدفاع عن البلاد

07/04/2026
لا توجد نتائج
جميع النتائج
  • زمان
  • آخر الأخبار
  • أخبار تركيا
  • الشرق الأوسط
  • أخبار العالم
  • اقتصاد
  • رياضة
  • تقارير
  • مطبخ تركي
  • كتاب “زمان”
    • كتاب
  • جميع الأخبار
    • مكتبة “زمان”
    • اتصل بنا
    • سياسة الخصوصية

© 2024 جميع الحقوق محفوظة -